2022-08-02. El Dr. José Félix Castillo es un ortopeda dedicado, sincero y con gran don de gentes, sobre todo para tratar a sus pacientes. La honestidad y el profesionalismo son cualidades cada vez más difíciles de encontrar en una persona, y puedo dar fe de que él las tiene. Es destacadamente competente en las especialidades de rodilla y.. Por lo general, cuando los pacientes sufren una fractura de acetábulo por un fuerte traumatismo, son derivados a urgencias donde se les realiza un tratamiento inicial de estabilización.. Mediante un examen físico, se realiza una exploración completa de todo el cuerpo, para ver si existen otros traumatismos o lesiones en la cabeza, el pecho, el abdomen o las piernas.

Acetabular fracture Wikipedia
Acetabular Fractures OrthoInfo AAOS

04 fracturasde_acetabulo

Fractura De Acetábulo Tratamiento Doctor José Félix

04 fracturasde_acetabulo

Fractura de acetábulo en paciente COVID positivo ADO Medical

Fractura de acetabulo Dr. Julián Guerra

Especialista en Lesiones de Pelvis y Acetábulo Dr. Daniel Machuca

Complicaciones de las fracturas de acetábulo Revista Española de Cirugía Ortopédica y

Fijación de fractura de columna posterior de acetábulo, asistida por artroscopía

Tratamiento quirúrgico de las fracturas de acetábulo

Manejo quirúrgico de las fracturas posteriores del acetábulo.

Complicaciones de las fracturas de acetábulo Revista Española de Cirugía Ortopédica y

fractura de acetabulo El Blog de Godie

Fractura de pelvis Dr. Josué Calderón Gamba

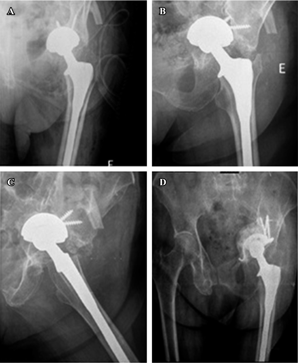
Fractura periprotésica acetabular intraoperatoria

webinar de Patrones de fracturas de acetábulo YouTube

04 fracturasde_acetabulo

La fractura de Acetábulo causas, tipos y tratamientos Camde

(PDF) Tratamiento quirúrgico de las fractura de pared posterior de acetábulo. Resultados a corto
También se puede asociar con fracturas acetabulares. Ocurre debido al bloqueo del suministro de sangre a la cabeza femoral (bola) por daño arterial que conduce a la necrosis de la cabeza del fémur. Prevención. Puede prevenir las fracturas acetabulares al: Usar cinturones de seguridad y conducir con seguridad.. An updated bibliographic review on the classification of acetabulum fractures was made. There were analysed important aspects of the international classification that divides these fractures into partially articular, with affection of one or both columns, and complex articular that specify all the variants in every case.